Подробно
Търсене
  1. Home
  2. Стоматолози
  3. Д-р Росица Кокудева
Д-р Росица Кокудева Д-р Росица Кокудева

Д-р Росица Кокудева

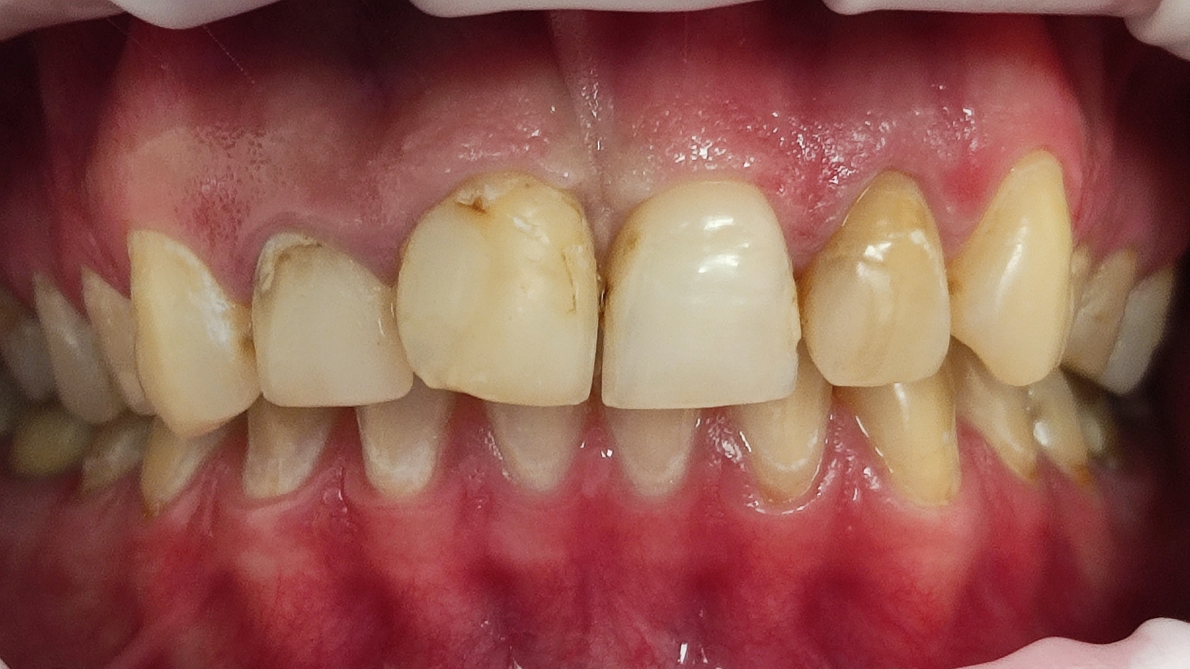
  • Красивите усмивки са здравите. 🌸
  • 0 Коментари

“Д-р Росица Кокудева” Локации

Dental solutions- д-р Иван Бахчеванов Dental solutions- д-р Иван Бахчеванов

Dental solutions- д-р Иван Бахчеванов

  • бул. „Драган Цанков“ 59-63, София, България
Вт, Ср, Чтв, Пт, Пн

Относно “Д-р Росица Кокудева”

Д-р Кокудева е лекар по дентална медицина, който извършва лечение в областта на кариесологията и ендодонтията, протетиката, детска дентална медицина, както и орална хирургия.
Можете да получите подробна информация в Инстаграм профила: @doctor.roxx

Избери Направление

Зъболекар

Специализация

Език

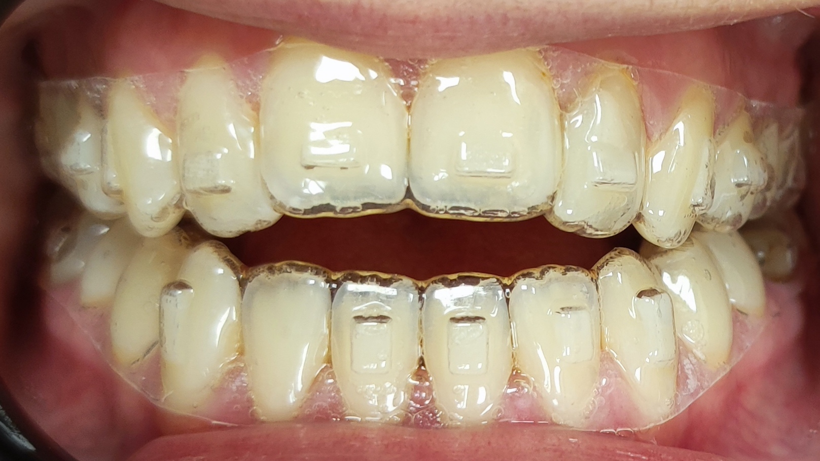
Галерия

“Д-р Росица Кокудева” Отговори

Няма онлайн консултации.

Публикации

Няма публикувани статии.
  • Сподели профила: